">

ОГРАНИЧЕНИЕ ПО ВОЗРАСТУ: 18+ ЛЕТ

Сегодня

19

exc_news yandex_news

Вход на сайт

В Оренбуржье врачи извлекли из желудка 8-летнего ребенка связку ключей

11.02.2025
В Оренбуржье врачи извлекли из желудка 8-летнего ребенка связку ключей

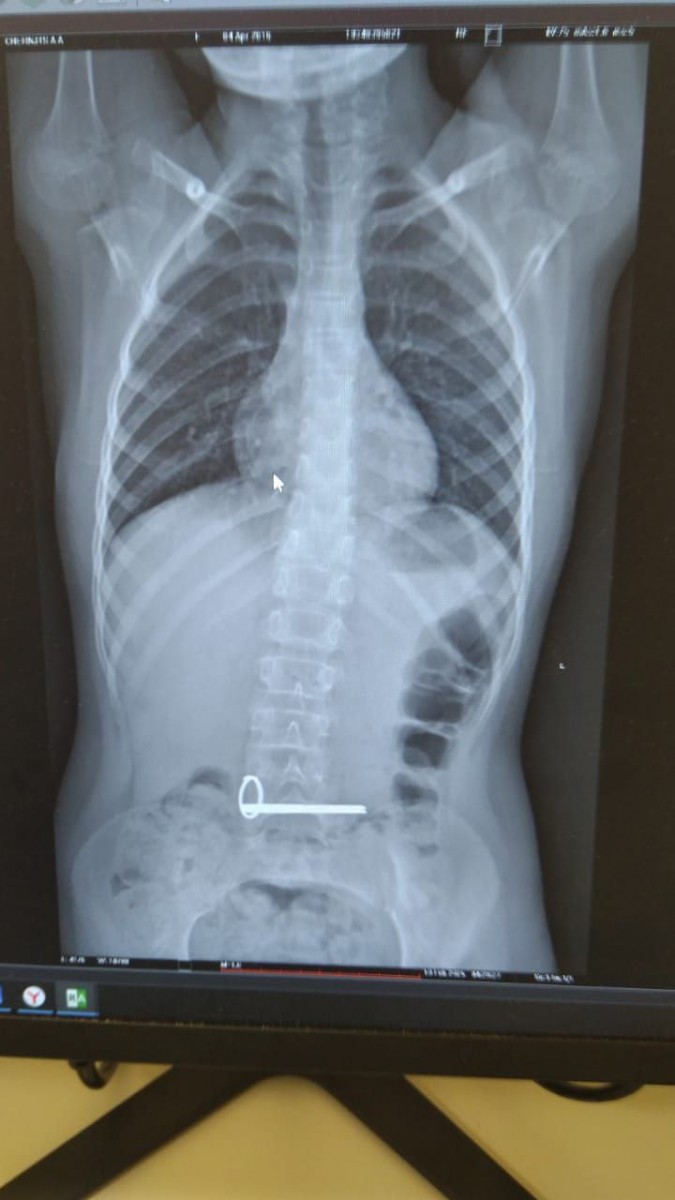
Ночью в отделение экстренной помощи ОДКБ поступил ребёнок с инородным телом в желудке. На снимке, сделанном во время обследования, отчётливо видны два ключа.

Эндоскописты без осложнений извлекли ключи из желудка ребёнка. Операция прошла под наркозом.

Заведующий эндоскопическим отделением ОДКБ Андрей Бобров отметил, что подобные случаи происходят довольно часто. В отделении даже собрана своеобразная коллекция предметов, которые врачи извлекали из лёгких и желудков маленьких пациентов: батарейки, орбизы, иголки, гвозди, булавки, заколки, скрепки, одёжные кнопки, магниты и многое другое.

«Мы в очередной раз напоминаем родителям о необходимости быть бдительными и следить за своими детьми, особенно когда они играют с мелкими предметами. Не оставляйте их без присмотра! Порой родители не сразу замечают, что ребёнок проглотил какой-то предмет, и инородное тело остаётся в организме на несколько дней, недель или даже дольше. Это может привести к серьёзным осложнениям, поэтому важно сразу обращаться к врачам», — подчеркнул Андрей Борисович.

Берегите своих детей!

Будьте внимательны и помните, что проглатывание любого предмета может быть опасно.

Важно не паниковать, а правильно действовать и вовремя обращаться к специалистам!

Фотоматериалы к новости

В Оренбуржье врачи извлекли из желудка 8-летнего ребенка связку ключей
Чтобы комментировать, зарегистрируйтесь или авторизуйтесь

Другие новости

В Бузулуке пенсионер поверил мошенникам и передал 750 000 рублейВ Бузулуке пенсионер поверил мошенникам и передал 750 000 рублей

Схема родственник в беде опять работает

18.01.2026
Жительница Новоорского района лишилась сбережений, пытаясь устроиться на дистанционную работуЖительница Новоорского района лишилась сбережений, пытаясь устроиться на дистанционную работу

Она оформилась как самозанятая и перевела деньги на указанные номера 

15.01.2026
В Оренбурге из-за взрыва самогонного аппарата пострадал человекВ Оренбурге из-за взрыва самогонного аппарата пострадал человек

В результате в квартире на первом этаже выбило окна

14.01.2026
В Бугуруслане мужчина погиб из-за куренияВ Бугуруслане мужчина погиб из-за курения

Загорелась квартира в доме по улице Московской

13.01.2026
Мы в социальных сетях

    Время 56 в Вконтакте  Время 56 в Одноклассники    

Архив новостей
« Январь 2026 »
Пн Вт Ср Чт Пт Сб Вс
   1234
567891011
12131415161718
19202122232425
262728293031